Where Do Cancers Come From / Cancer Project : The common fig is native to the middle east where it has been grown since ancient times.
Dapatkan link
Facebook
X
Pinterest
Email
Aplikasi Lainnya
Where Do Cancers Come From / Cancer Project : The common fig is native to the middle east where it has been grown since ancient times.. Where did they come from? You can also find bedbugs almost anywhere in your home — in furniture, cracks in the walls, and ceiling holes. No one really knows for sure, and several theories have emerged over the years. I assume you are asking where lice come from when they appear on our person, rather than where did they initially originated in the beginning (creation). First, where do these cancers come from and second, why are more people not diagnosed or impacted by these cancers?
Where do you think babies come from? to see what they know about the topic.4 x research source. An illustrated childrens book on human sexuality. If you asked where does cotton come from a hundred years ago, the answer would be very different than it is today. Do you think you know where your ancestors came from? Something that keeps food from spoiling.
Why Are Cancers Represented By Crabs Zodiac Sign Instantgo Blog from blog.instantgo.com Where do our thoughts come from? Where did i come from?: Ddr redid the difficulty system in ddr x where most 10's turned to 15's (max 300, legend of max, etc.) with it going up to 19 with valkyrie dimension and paranoia revolution. This has come to be known as the oort cloud. This is good for actions that require us to flow without conflicts or issues may come up around control, obsessions, secrets, or other things being revealed. :) lice do not suddenly appear on a person without them being in contact with someone else who has had them and passed them on. But where did it come from? A basic comprehension of the facts of life.useful as a first step in introducing infants to where do babies come from.
Something that keeps food from spoiling.
This is good for actions that require us to flow without conflicts or issues may come up around control, obsessions, secrets, or other things being revealed. Where do lemons come from. Put aside what you think you know and let your personality show us where your truly from! Where did i come from?: While exiled american loyalists to the crown shaped the english accent in ontario, the immigrants who settled the maritime provinces came from the uk and france (credit: Societies are aware about the dangers of unprotected sex. Twitter, instagram and the cancer of the internet (reddit) are the frontrunners since their userbases grew so much the last five. Where the blocks hit the ground far, far below, that's like inflation coming to an end. First, where do these cancers come from and second, why are more people not diagnosed or impacted by these cancers? The knowledge sharing network where compelling questions are answered by people with unique insights. By forgetting where ok came from, we made it belong to us all. The most widely accepted explanation, according to the bureau of engraving and printing, goes back to the spanish peso, which was. We must talk about preventable risk | ranjana srivastava although my patient constantly and laughingly referred to himself as a.
Where do they come from? So where did it come from? When it comes to communicating risk, cancer occupies a unique and unfortunate space. This has come to be known as the oort cloud. We hope you understand clearly about, where does cotton.
Stem Cell Fate In Cancer Growth Progression And Therapy Resistance Nature Reviews Cancer from media.springernature.com The british representative in new york might have come from paris or washington if that's where their aircraft took off. Depending on the type of cell that spawned it and the error that was made in the dna. So where does the basis of our morality come from? From here it spread all the way to afghanistan in the east and portugal in the west. Where did you come from? Though it is common to find bedbugs in your bed, don't let their name fool you. Where do our thoughts come from? By forgetting where ok came from, we made it belong to us all.
Ddr redid the difficulty system in ddr x where most 10's turned to 15's (max 300, legend of max, etc.) with it going up to 19 with valkyrie dimension and paranoia revolution.
Societies are aware about the dangers of unprotected sex. This has come to be known as the oort cloud. It comes from the very empathy and altruism that brought our species alive and well into the present day. However, since the individual comets are so small and so far away, we have no direct evidence about the actual. When it comes to communicating risk, cancer occupies a unique and unfortunate space. Statistics imply that it may contain as many as a trillion comets and may account for a significant fraction of the mass of the solar system. 'where did you come from?' is directly about transport or travel, not origins. Can cancer can come in many forms, can be malignant, can be a basil cell carcinoma which is not. Twitter, instagram and the cancer of the internet (reddit) are the frontrunners since their userbases grew so much the last five. Where do they come from? If you asked where does cotton come from a hundred years ago, the answer would be very different than it is today. So where does the basis of our morality come from? The most widely accepted explanation, according to the bureau of engraving and printing, goes back to the spanish peso, which was.
From here it spread all the way to afghanistan in the east and portugal in the west. Can cancer can come in many forms, can be malignant, can be a basil cell carcinoma which is not. First, where do these cancers come from and second, why are more people not diagnosed or impacted by these cancers? By forgetting where ok came from, we made it belong to us all. A basic comprehension of the facts of life.useful as a first step in introducing infants to where do babies come from.
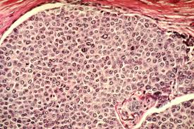
Stem Cells And Cancer Harvard Stem Cell Institute Hsci from static.projects.iq.harvard.edu The common fig is native to the middle east where it has been grown since ancient times. Though it is common to find bedbugs in your bed, don't let their name fool you. There are thousands of different cancers. Where do the names of the days of the week originate from? However, since the individual comets are so small and so far away, we have no direct evidence about the actual. A genetic mutation of a cell's dna is required for a healthy cell to take on the features that classify them as cancerous. Where do lemons come from. We can feel more forceful and aggressive.
Where did you come from?
Twitter, instagram and the cancer of the internet (reddit) are the frontrunners since their userbases grew so much the last five. Depending on the type of cell that spawned it and the error that was made in the dna. First, where do these cancers come from and second, why are more people not diagnosed or impacted by these cancers? That's where all the energy inherent to space itself gets converted to real particles, and the fact that the energy density of space itself was so. However, since the individual comets are so small and so far away, we have no direct evidence about the actual. This big question came from emerson whitney, who inquired about the history of ok via twitter. Do you think you know where your ancestors came from? Where do lemons come from. Statistics imply that it may contain as many as a trillion comets and may account for a significant fraction of the mass of the solar system. Before the day of manmade materials, there were little other choices when it came down to making any of these items. Hope that knowing the risk factors is a step. Where do you think babies come from? to see what they know about the topic.4 x research source. A basic comprehension of the facts of life.useful as a first step in introducing infants to where do babies come from.
Omicron (1964) italian movie where an alien takes over the body of an earthman in order to learn about the planet so his race can take it over. 27.11.2021 · it is possible that omicron, a new coronavirus variant first detected in south africa, could already be in the united states, according to dr. Anthony fauci, director of the national institute of allergy and infectious diseases. The discoveries come as the world scrambles to respond to concerns over the new variant, discovered in south africa earlier this week.stay on top of the latest market trends and … 74 replies 324 retweets 1,678 likes. Is this a Castlevania character? | Smashboards from smashboards.com 74 replies 324 retweets 1,678 likes. Anthony fauci, director of the national institute of allergy and infectious diseases. Britain detected two cases of the new omicron coronavirus...
What Is Breast Cancer Pain Like / What Is Breast Cancer Its Types Signs Causes Treatments Onco : They can even be painful. . A sudden, noticeable new pain is the most common symptom of cancer that has spread to the bone. The pain may be constant or it may occur only occasionally, and it can occur in men, women and transgender people. You may experience heaviness, tenderness, a burning, prickling or stabbing pain, or a feeling of tightness. This is the most common type of breast cancer.it begins in. An ache or pain in the affected bone; Thickness or redness of the skin, along with a little puffiness like the skin of an orange is a sign. You may experience heaviness, tenderness, a burning, prickling or stabbing pain, or a feeling of tightness. Symptoms of this aggressive disease often come on suddenly and progress rapidly. Cancer surgery, treatments, or tests can also cause pain. The disease is related to an uncontrollable growth of cells in the breast, caused by inher...
What Is The Causes Of Lung Cancer : 1 in 4 cannot name any lung cancer symptoms : Learn about different causes of lung cancer including tobacco smoking. . These changes are the result of the interaction between a person's genetic factors and three. Learn about different causes of lung cancer including tobacco smoking. Lung cancer often starts out with symptoms that mimic less smoking is the biggest risk factor for lung cancer. Smoking is a major risk factor and is the main cause of lung cancer. Smoking is the number one cause of lung cancer. Dna is the chemical in our cells that makes up our genes, which control how our. Tobacco smoke is thought to be responsible for more than 85 per cent of lung cancer cases. Smoking is the main cause of lung cancer with symptoms like recurrent respiratory diseases. Most cases of lung cancer are caused by smoking, although people who have never smoked can also develop the condition. Get the facts on lung cancer types, symptoms, ...
Komentar
Posting Komentar